The Fastest Diagnostic
ViewerEver Built.
GPU-optimized, web-based DICOM viewing software to deliver the best possible reading experience.
import Avara from 'avara'; const client = new Avara({ apiKey: process.env.AVARA_API_KEY }); const study = await client.viewer.studies.create({ severity: 'normal', studyDescription: 'Coronary CTA', studyInstanceUid: '1.3.6.62853.2345', });
Launch in minutes

Supports all modalities
No metadata needed,
ever.
Fast. Elegant. Intuitive.
Ultra-optimized DICOM viewer workstation that lets you
read with clarity & precision.
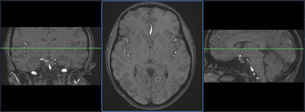
3D Rendering in
Under a Second
Transform any DICOM modality into an interactive 3D model with a single click.
Imaged to the right is a Circle-of-Willis MRI time-of-flight sequence rendered in the Avara Viewer.
Fluid Interaction.
No Lag – Ever.
Our viewer is GPU-optimized at every turn to deliver cross-reference & viewport scroll syncing with absolutely zero lag.
Schedule DemoComprehensive Tool Suite to Meet Every Reader's Needs
Everything you need for efficient, accurate diagnostic reading – built directly into your workflow.

Annotate with Confidence
Enhance reading & viewport annotations with vertebra labels, text-boxes, & arrows.

Measure with Precision
Provide diagnostic measurements with our line, angle, & region-of-interest tools.
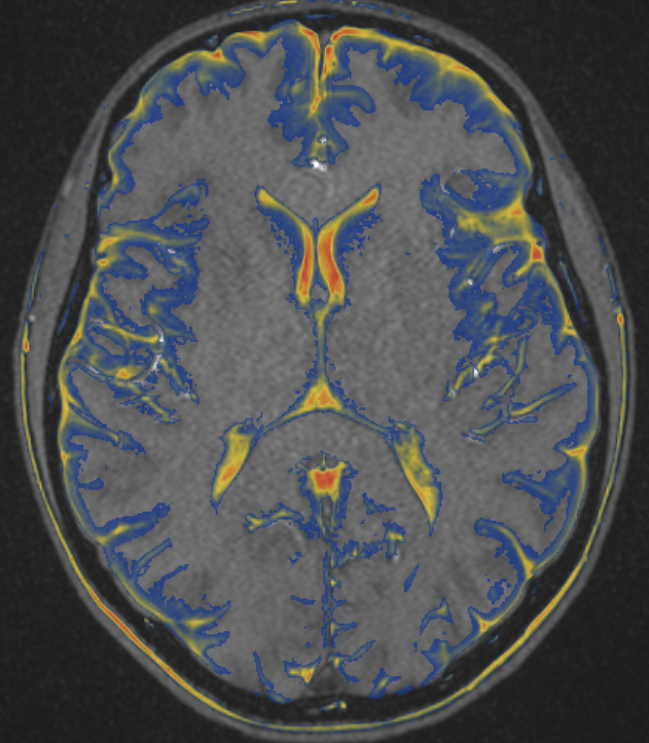
Visualize Blood Flow
Play through sequences like a movie with the cine tool – frame rates up to 40 FPS supported.
MIP Vascular Studies
With the click of a button, toggle maximum intensity projection and adjust the width with ease.

Project Into Any Plane
Advanced multiplanar reconstruction rendering in under a second – view any series in axial, coronal, or sagittal planes instantly.
Full Mammography &
Tomosynthesis Support

Mammo & DBT studies automatically render a predictable hanging protocol on load that follows an intuitive & powerful rules engine.
Learn More
Fusion for
Any Modality
Seamlessly overlay PET, SPECT, or any functional imaging data onto CT or MRI anatomical studies for enhanced diagnostic precision.
Designed for developers
Integrate Fast with Powerful & Easy-to-Use APIs
Save engineering time with our simple SDKs. We obsess over providing clean API surfaces to allow for the tightest & most robust integrations on market so your team doesn't have to worry about your radiology software.
Read the Docs|
Temporary Access Views
- Generate temp viewing sessions with ease using our SDK.
- Build re-route links directly into your platform.
- Let users skip our dashboard if you prefer.
Avara Express
- Host multiple customers with one platform account.
- Study restrictions based on organization membership.
- Add new customers in seconds.
Designed for integrators
Sell Viewer as a Service on Your Platform
Maximize your revenue & customers' throughput by integrating our Viewer directly into your platform. We support flexible integration options for any PACS, EHR, or RIS company.
Read the DocsWe require zero metadata.
Only cloud data URLs.
Our just-in-time DICOM parser handles everything.
Transform How You Read
Trusted by practices across the country to deliver faster,
more accurate reads.
Frequently Asked Questions
All of them. Avara Viewer supports:
- CT, MRI, X-ray, XA, ultrasound, PET, nuclear medicine, fluoroscopy
- DICOM SR (structured reports)
- Mammography and tomosynthesis
- Any DICOM data
If it's medical imaging, Avara Viewer can display it.
3D reconstructions render in under one second for most studies. Our GPU-optimized rendering engine ensures smooth, lag-free interaction even with large datasets.
Yes. Avara Viewer can be accessed for free in our free tier or purchased as a standalone product for $0.10 per study in our pro and enterprise tiers.
Avara Viewer is GPU-optimized at every turn with the lowest latency on the market. Studies load at blazing speeds, MPR/3D/Fusions are generated in under a second, interactions are fluid, and there's no lag – ever. Whether you're scrolling through a 2,000-slice CT or manipulating 3D reconstructions, Avara Viewer delivers seamless performance.
Try it yourself here (https://avarasoftware.com/open-dicom)
Yes. You can start a 30-day free trial immediately and experience Avara Viewer's features before committing.